




X

X

| 진료내용 | 종류 | 진료비용(원) | |
|---|---|---|---|
| 인레이 | Gold inlay | 소구치 | 400,000 |
| 대구치 | 450,000 | ||
| Resin inlay(emax) | 1면 | 300,000 | |
| 레진 | 대구치 1면 | 100,000 | |
| 소구치 1면 | 80,000 | ||
| 전치 | 간단 | ||
| 복잡(2년 이상) | 150,000~200,000 | ||
| 치경부 | 70,000 | ||
| 유치 | 구치부 | 100,000 | |
| SSCr | 100,000 | ||
| 공간유지장치 | 150,000 | ||
| 실란트 | 치아당(비보험) | 30,000 | |
| 불소도포 | 젤 , 비니쉬 | 천막 | 30,000 |
| MTA | Base | 치아당 | 100,000 |
| Carial filing | 근관당 | 100,000 | |
| 코어 | 레진 | 치아당 | 50,000 |
| 포스트 | 치아당 | 150,000 | |
| 임플란트 | O-sstern | BA / 상부보철 | 1,100,000 |
| SOI/ 상부보철 | 1,300,000 | ||
| Zr | 150,000~200,000 | ||
| 인공뼈이식 | 치아당 | 20/25/35/45(만원) | |
| 상악동거상술 | 치조정접근법 | 500,000~700,000 | |
| 측방접근법 | 800,000~1,000,000 | ||
| 스플란트 | CR | 턱관절치료용 | 800,000 |
| Nightgard | 이갈이용 | 600,000 | |
| 치아미백 | 전문가미백 | 1회당 | 300,000 |
| 틀니 | 덴처 | 1,500,000 | |
| 오버덴쳐 | 1,800,000 | ||
| 임시덴처 | 300,000 | ||
| 와이어덴처 | 100,000 | ||
| 비보험스케일링 | 50,000 | ||
| 진단서 | 보험제출용 | 30,000 | |
| 상해진단서 | 50,000 | ||
| 상해진단서(3주 이상) | 100,000 | ||
| 자가미백제 | 150,000 | ||



01
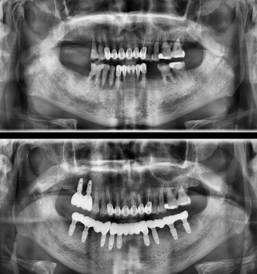
임플란트 식립 1만 례 이상
통합치의학과 전문의 대표원장의
고난도 임플란트 임상 노하우
수많은 임상경험과 해부학적 지식이 풍부한 대표원장이 다양한 디지털 장비를 사용해 환자 개개인의 구강 환경에 최적화된 맞춤형 치료 계획을 수립해 진행하기 때문에 다양한 고난도 케이스도 안전한 식립이 가능합니다.

02
디지털 진단과 전문의의 손끝이 만나는 순간,
치료의 정교함이 달라집니다.
성공적인 임플란트 식립을 위해서는 정밀한 진단이 필수적입니다. 3D 스캔·CT·CAD/CAM 기반의 디지털 분석으로 오차를 줄이고, 통합치의학과 전문의 대표원장이 직접 진단·설계·최종 보철까지 전 과정을 담당하여 심미적인 조화와 기능적 안정성을 동시에 고려한 임플란트를 제공합니다.

03
아프지 않은 편안한 치과 치료를 위한
단계별 통증 완화 시스템 운영
임플란트 시술에 대한 환자분들의 부담을 덜어드리기 위해 단계별 통증경감 시스템을 도입했습니다. 컴퓨터 제어 방식의 무통마취기를 사용하여 마취액 주입 속도와 압력을 전자동으로 조절함으로써 치료과정에서의 불필요한 통증을 최소화합니다.

04
10년 보증 임플란트, 3년 보증 레진&보철물
꾸준한 관리와 예방치료를 우선으로 생각합니다.
양평백상치과는 치료 후의 장기적 안정성을 가장 중요하게 생각합니다. 정기적인 치주관리, 교합 체크, 보철 유지관리 시스템을 통해 치료 결과가 오래 유지될 수 있도록 개인별 맞춤 케어를 제공합니다.

01
윗 턱뼈가 얇아 임플란트 식립이 어렵다면?상악동거상술
상악동 거상술은 치조골 높이 부족으로 임플란트 시술이 어려운 경우,
상악동을 이용하여 인공 뼈를 이식함으로써
임플란트 시술을 가능하게 하는 중요한 수술 기법입니다.
02
잇몸뼈의 양이 부족해 임플란트 식립이 어렵다면?뼈이식 임플란트
성공적인 임플란트 식립을 위해서는 충분한 양과 질의 잇몸뼈가 필수적이지만,
경우에 따라 잇몸뼈가 부족한 경우가 있습니다.
이 경우 뼈이식술을 통해 먼저 잇몸뼈의 양과 질을 개선한 후
임플란트를 식립해야 장기적인 안정성과 성공률을 높일 수 있습니다.
03
전악 임플란트
치아가 하나도 없거나 심각한 구강질환을 앓고 있어도
전악 보철을 제작, 임플란트를 치조골에 식립해
기능적, 심미적으로 자연치아와 가장 유사한 수준으로 재현이 가능합니다.
04
임플란트 재수술 걱정이라면?임플란트 재수술
임플란트 재수술은 첫 수술보다 훨씬 고난이도 수술로,
고난도의 뼈이식 임플란트, 전체 임플란트 등
전반적으로 임플란트 분야 경험이 많은 의료진에게 받는것이 좋습니다.
05
하루만에 발치 후 바로 식립하는발치즉시 임플란트
발치한 당일에 임플란트 식립을 진행하기 때문에
내원 횟수를 줄여 불편함을 최소화하고 치료 기간도 단축시킬 수 있습니다.
다만, 모든 분들이 가능한 것은 아니기 때문에 정밀 진단 후
숙련된 의료진과의 상담이 필요합니다.
06
건강보험으로 걱정 없이 치료 받으세요!지르코니아 보철 임플란트
경제적인 부담으로 망설이고 계셨다면 걱정하지 마세요.
건강보험에 가입되어 있는 만 65세 이상 환자분의 경우,
위치 상관없이 평생 2개까지 본인 부담금 30%만 부담 하시면
기존 PFM 보철보다 더 튼튼한 지르코니아 적용이 가능합니다.
07
경제적 부담은 줄이고 기존 틀니 단점은 보완! 임플란트 틀니
전체 임플란트의 또 다른 대안으로, 2개에서 4개 정도의 임플란트를 식립하고
그 위에 틀니를 연결하는 방식입니다.
기존 틀니의 단점을 보완하면서도 경제적인 부담을 줄일 수 있는 장점이 있습니다.
디지털 정밀 진단

일반 임플란트
치아 상태 및 신경의 위치를 2D(평면)으로만 확인이 가능해
정확한 진단이 어려움

3D CT를 통한 컴퓨터 분석
현재 턱 뼈와 잇몸의 상태를 3차원 입체 영상으로 확인이 가능해
정밀 진단에 따른 오차 없는 수술이 가능

일반적인 인상 채득
입이 작거나 구역 반사가 심한경우 불편하고
치아의 미세한 부분까지 재현하는 데 한계가 있음

3D 디지털 스캐너
스캐너 장비를 사용해 본 뜨는 번거로움 없이
빠르고 편안하게 정확한 구강내 인상 채득이 가능








사랑니 발치 PROCESS











